ATRA联合HD-DXM治疗成人免疫性血
ATRA联合HD-DXM治疗成人免疫性血

第61届美国血液学会(ASH)年会于2019年12月7日至10日在美国奥兰多举行。每年一度的ASH年会是全球血液学领域规模最大、涵盖最全面的国际学术盛会之一,汇聚该领域最

352
难治性免疫性血小板减少症
难治性免疫性血小板减少症

免疫性血小板减少症(immunethrombocytopenia,ITP)是除化疗外导致获得性血小板减少的最常见病因,大部分患者,包括慢性ITP患者,经传统治疗后预后良好,但有一小部分患

274
肝素诱导的血小板减少
肝素诱导的血小板减少

血小板减少是危重症患者中常见的现象。在接受体外膜肺氧合(ECMO)死亡患者中,血小板减少是大出血(包括颅内出血)的最常见诱因,与预后不良有关。ECMO是呼吸(静脉端-

329
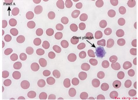
你以为的免疫性血小板减少症
你以为的免疫性血小板减少症

2013年EuropeanJournalofHaematology报道过一个病例,一个21岁的女性,从两岁开始无明显诱因出现血小板减少,基础血小板值在5~15×109/L,却并没有出血症状。营养性、

228
<span style=[组图]轻松应对化疗所致血小板减少症">
[组图]轻松应对化疗所致血小板减少症

肿瘤化疗相关性血小板减少症(CIT)是指抗肿瘤化疗药物对骨髓巨核细胞产生抑制作用,导致外周血中血小板计数低于100×109/L。一、容易导致CIT的药物CIT发生与化疗药物

506
肝硬化并发血小板减少的原因和治
肝硬化并发血小板减少的原因和治

血小板减少是重症患者常见的并发症。在临床上,约70%的肝硬化患者伴有血小板减少。欧美国家惯例通常将血小板计数<150×109/L定义为血小板绝对减少。而因为中国人群

804